牙齿贴面美白全攻略
1、牙齿不整齐,做瓷贴面能达到很好的效果吗▼
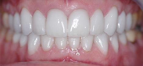
瓷贴面的磨牙量很少,较为健康,对于四环素牙、氟斑牙、黑牙、黄牙、牙髓坏死变色、牙齿稀疏、 轻微牙齿不齐、轻微牙齿不齐能够很好的改善牙齿的颜色,但是对于牙齿的明显不整齐,改善很轻微。也就是说,如果牙齿不整齐很明显,想通过贴面来令牙齿变整齐,效果并不理想。
最佳的方法是先进行矫正牙齿,带矫正器一两年的时间(视个人的牙齿情况时间长短不一)把牙齿移动到正确的位置,然后再做贴面进一步改善牙齿的美观。整齐的牙齿不仅能够提高牙齿的美观效果,更容易维护牙齿的口腔卫生。减少发龋齿和牙周病的可能性。因此,对于牙齿明显不整齐的患者,先做矫正在做瓷贴面值得的。

2、瓷贴面如何改变牙齿的形态和颜色▼
1、检查 口腔健康诊断,选择合适的适应症。
2、DSD微笑美学设计 数字微笑美学设计,制定个性化治疗方案。
3、备牙 牙体预备。需要磨除少量的牙齿。
4、比色 用齿科专用的对比色板进行牙齿比色,以此来确定贴面的颜色。
5、取模。
6、CADcam设计 进行CAD\CAM设计制作,数字模拟设计并通过3D打印瓷贴面。
7、贴面粘结 将制做成的瓷贴面的内侧均匀涂上粘接剂,检查咬合关系并调合。

3、贴面这么薄,会不会很容易脱落▼
瓷贴面是相当牢固的,比牙冠还牢,瓷贴面是直接粘接在牙齿的釉质层,就相当于把透明胶黏贴在玻璃上。牙冠是直接粘贴在牙本质层,就相当与把透明胶粘贴在白粉墙上,由此可知贴面的粘结度很牢。因此不用担心贴面会不会容易掉落。

4、贴面是人人适用吗▼
当然不是每个人都能做贴面的,尤其是不希望磨牙的患者,适合的人就更少了,具体是否适合做贴面,适合哪种贴面,建议到口腔医院进行检查听取专业医生的意见。

5、瓷贴面需要磨牙,是不是不够健康▼
相信很多患者担心做磨牙齿顾虑重重,其实瓷贴面磨牙较少,只有.02mm-0.5mm(也有不需要磨牙的,只是适用人群较少)。
