优梨美牙的牙周检查内容
1、牙周袋 / 牙龈沟深度( PPD/sulcus depth)
2、 临床附着水平(CAL)
3、是否探查出血(BOP)
4、 牙齿松动程度(mobility)
5、 牙龈退缩程度(gingival recession)
6、角化附着牙龈宽度(keratinized gingival width)
7、牙石(Calculus)
8、菌斑(Plaque)
9、根分叉暴露蕉夏情况(furcation involvement)
这些个临床检查要在每个牙齿的唇侧面, 舌/腭侧面各取三处(近中,中间,颂没远中) 做测斤码沃量。所以大部分指标在每个牙齿上要量六个部位。

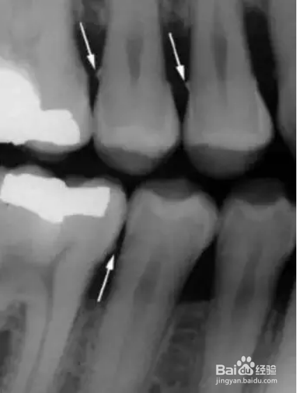
1、除了临床检查,X 光片也是必不可少的。在牙周检查里,最常用的是根尖片和咬翼片,有时候再加上全景片。
2、在读根尖片前,首先要确定 X 光片的拍摄质量,换句话说,这张根尖片有没有用于诊断的价值。

3、垂直咬翼片更适合牙周检查。因为牙周病患者通常有骨吸收,如果吸收严重,水平咬翼片可能没法显示牙槽嵴,而这时垂直咬翼片就显示了其优点。

4、全景片,清晰显示关节。另外对牙列有大致概念,但对细节,无法显示得象根尖片或咬翼片那样清晰

1、以牙松动幅度计算:
Ⅰ度松动:松动幅度不超过1mm
Ⅱ度松动:松动幅度为1~2mm
Ⅲ度松动:松动幅度大于2mm
2、以牙松动方向计算:
Ⅰ度松动:仅有唇(颊)舌向松动
Ⅱ度松动:唇(颊)舌向及近远中向均有松动
Ⅲ度松动:唇(颊)舌向及近远中向松动,并伴有垂直向松动
声明:本网站引用、摘录或转载内容仅供网站访问者交流或参考,不代表本站立场,如存在版权或非法内容,请联系站长删除,联系邮箱:site.kefu@qq.com。