MRI的检查方法有哪些
1、平扫检查,包括普通平扫检查和脂肪抑制、水抑制、磁敏感加权成像、梯度回波同、反相位T1WI等特殊平扫方法。

2、对比增强检查,是经静脉注人顺磁性或超顺磁性对比剂后,行T1WI或T2WI检查的方法。普遍采用的对比剂是二乙烯三胺五乙酸钆。

3、MRA检查主要用于诊断血管疾病,但效果通常不及CTA,分为;
普通MRA检查,无需注人对比剂,但对于小血管显示欠佳
增强MRA,对于血管细血管的显示效果要优于普通MRI。

4、 MR水成像检查,主要用于胆胰管异常、尤其梗阻性病变的诊断;MRU则用于检查尿路梗阻性病变;内耳迷路水成像可以用于诊断内耳先天性发育畸形。

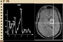
5、H磁共振波谱(H-MRS)检查,H-MRS检查对脑肿瘤、前列腺癌、乳腺癌等肿瘤的诊断与鉴别诊断有很大帮助,也用于研究其他部位肿瘤与非肿瘤性病变的鉴别。

6、功能磁共振成像(fMRI)检查,分为扩散加权成像(DWI)和扩散张量成像(DTI)检查以及灌注加权成像和脑功能定位成像。

声明:本网站引用、摘录或转载内容仅供网站访问者交流或参考,不代表本站立场,如存在版权或非法内容,请联系站长删除,联系邮箱:site.kefu@qq.com。
阅读量:57
阅读量:81
阅读量:155
阅读量:61
阅读量:181