皮秒激光美容仪器真的有用吗?
1、 PicocareTM的创新技术,对色素颗粒的击碎更为彻底,而对周围组织的损伤更小。我们把色素颗粒比喻为岩石,传统的调Q激光可以把这些岩石击碎为鹅卵石大小,而PicocareTM就可以将其击碎为细沙,这样色素吸收效率就极大提高了。
PicocareTM皮秒激光,脉宽是普通调Q激光的百分之一,对色素颗粒的击碎更为彻底,而对周围组织的损伤更小。


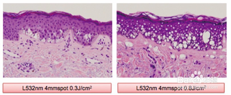
2、PicocareTM通过532nm治疗可有效保存两层:
表皮屏障和表皮与真皮交界处

3、用低能量治疗炎症后色素沉着成为可能。
比普通调Q激光治疗产生更少的炎症后色素沉着
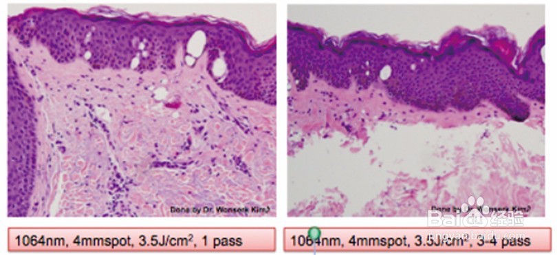
4、 PicocareTM 通过1064nm在高能量密度和高频率
出光的情况下,产生液泡(LOOB)

声明:本网站引用、摘录或转载内容仅供网站访问者交流或参考,不代表本站立场,如存在版权或非法内容,请联系站长删除,联系邮箱:site.kefu@qq.com。
阅读量:120
阅读量:107
阅读量:166
阅读量:195
阅读量:187