怎么知道有牙石
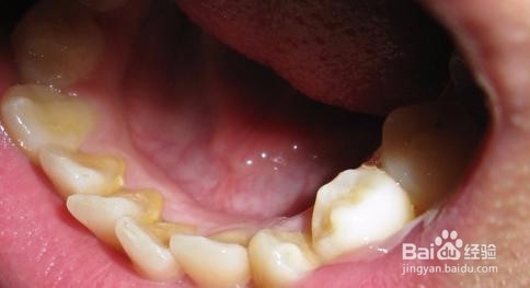
1、牙结石呈黄色、褐色,棕色、或者黑色,在牙龈边缘,两颗牙齿的中间,龋齿沟,都可以到它们的影子。

2、牙石颗粒小的,呈现不同形状的,用手去抚摸,可以感觉得到有刺手,舌头舔它,舌头会很不舒服,感觉会割到舌头。

1、爱吃零食,尤其是甜品,口腔长期处于分泌唾液的过程,让食物遗留在牙缝间,久而久之,牙结石就形成了。

2、不注意个人卫生,进食后不漱口,让食物残渣在口腔里发酵成细菌,从而形成牙石,刚开始形成,表面不太硬,容易清除,如果不注意清洁,日子久了,会成为一颗长在牙龈边缘的硬石头,让人很讨厌。

1、牙结石破坏力很强,会造成牙龈萎缩,牙齿松弛,严重的会让牙齿脱落。

2、牙结石是导致口腔异味的另一个原因,让人无法接近。

1、健康使用牙齿,不让牙齿受冰水的刺激,少吃冰激凌。

2、少吃或者不吃零食,尤其是容易残留的糕点,饼干类。

3、少喝或者不喝饮料、含有淀粉的各种饮料,尤其是珍珠奶茶。

4、餐后要勤漱口,清洁干净牙齿,适当使用牙线,早晚刷牙。

5、应当养成定期看牙医的习惯,检测牙齿健康很重要。

声明:本网站引用、摘录或转载内容仅供网站访问者交流或参考,不代表本站立场,如存在版权或非法内容,请联系站长删除,联系邮箱:site.kefu@qq.com。
阅读量:196
阅读量:141
阅读量:192
阅读量:84
阅读量:196