牙齿酸痛怎么办
1、 牙齿酸痛是牙疼的一种,由于牙齿抵抗力弱对凉性酸性食物的刺激很敏感,甚至环境的变化比如吸入冷空气都会引起牙疼。会感到一种酸酸的阵痛感,痛感不会像牙龈肿痛持续很长时间。

2、长期吸烟:长期吸烟会让牙齿的抵抗力变弱,烟草中的有害物质会侵蚀牙齿。
天生遗传:天生牙齿不坚固,抵抗力较弱,吃一些甜食也会引起酸痛。

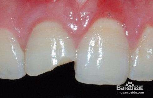
3、牙齿损伤:修牙使牙齿变薄或牙齿受到损伤有缺口等情况也可能对外界刺激会有敏感反应,引起牙齿酸痛。

4、缺钙:长期手淫或很少摄入牛奶等原因导致体内钙质供应不足,牙齿变薄,受到外界侵袭表现得比较脆弱
清洁:长时间不刷牙,口腔内细菌滋生腐蚀牙齿也会导致牙齿抵抗力变弱。

1、 当牙齿受到酸性或凉性刺激时,用温水涑口,可以很好的减少刺激感。
避免进食刺激牙齿的食品,比如菠萝,山楂等等。

2、 平时不要吸烟,不要经常熬夜。这些不好的生活习惯都会导致牙齿抵抗力下降。
每天晚上睡前保证刷牙。最好使用抗过敏牙膏,如冷酸灵等,能有效缓解牙齿过敏,加强牙齿的坚固性。

声明:本网站引用、摘录或转载内容仅供网站访问者交流或参考,不代表本站立场,如存在版权或非法内容,请联系站长删除,联系邮箱:site.kefu@qq.com。