儿童蛀牙奶瓶龋怎么办?
尽管儿童乳牙在整个生长发育过程中只是个过客,但其影响与作用是至关重要的,并且乳牙本身对龋坏高度敏感。婴幼儿时期的蛀牙常被称为奶瓶龋或婴幼儿龋。河马牙医建议孩子们需要强大而健康的牙齿来咀嚼食物、说话并且拥有一个美丽的笑容。乳牙是恒牙长出的火车头,乳牙的健康可以保证恒牙的正常发育。

工具/原料
河马牙医儿童口腔健康指南
奶瓶龋的形成原因
婴儿新萌的乳牙牙质薄,表面结构不成熟,矿化程度低,抗龋力差。长期使用奶瓶喂养,使得婴儿吮吸动作不活跃,瓶塞长时间贴合在婴儿上颌乳前牙上,并波及旁边的乳尖牙和乳磨牙。

长时间含奶瓶睡觉,睡眠中婴儿唾液分泌减少,吞咽功能减弱,口腔的自洁能力下降,而牙齿长时间接触奶或易产酸发酵的饮品中,糖分发酵产生酸,繁殖出大量细菌破坏婴儿牙齿。
家长忽视了婴儿乳牙护理的重要性,没有对婴儿的乳牙进行保护。
奶瓶龋的临床表现
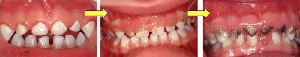
起初,主要在婴儿上颌乳切牙的唇面龈缘处出现白垩色斑点或脱矿带。随后随着病情发展向旁边蔓延,脱矿带颜色加深,侵蚀邻近的牙齿形成环状龋面,龋面呈棕色。最终发生牙冠折断,只留下残根。

随着病变加重,婴幼儿会感到牙齿剧烈疼痛、牙龈肿胀、流脓,引发牙髓炎、牙周脓肿等并发症。更多儿童奶瓶龋相关问题可咨询河马牙医。
如何治疗奶瓶龋?
一旦发现婴幼儿出现奶瓶龋,需要立即到医院进行治疗。一般来说,轻度奶瓶龋患牙会采用敷药法治疗,以涂药方法治疗,而中、重度龋患牙要先去尽腐坏的部分,填充空洞,同时进行敷药治疗。

有条件的患儿可以进行修复治疗,恢复牙体的外形,抑制龋齿发展。
预防宝宝患奶瓶龋的方法
进行科学喂养
正确地使用奶瓶喂养婴儿,改掉婴儿含着奶瓶入睡的坏习惯。如果婴儿习惯含奶瓶入睡,应用白开水代替其他饮品。
控制奶瓶的使用时间
一般来说在10-15分钟内最佳,尤其注意不能让孩子夜晚叼着奶瓶。
合理婴幼儿膳食
不给婴幼儿摄入过多糖分,少给宝宝饮用饮料和果汁饮品,选择适合宝宝体质的奶粉。
重视婴幼儿口腔的清洁
2岁以下的婴儿在哺乳后可以喝白开水稀释口腔奶液残留。在睡前可以用纱布蘸上清水擦洗牙床和舌头。2岁以上的幼儿要养成早晚刷牙的好习惯,进食完要漱口。使用儿童专用的护牙剂、牙膏、牙刷。
更多儿童口腔健康问题可咨询河马牙医

注意事项
当你的孩子第一个牙齿出现的时候,你就可以和你的牙医预约宝宝的第一次牙科访问了。
更多儿童口腔健康问题可咨询河马牙医