为什么牙齿需要矫正?
1、使脸部畸形,引起心理自卑

2、会引起蛀牙、牙齿脱落等口腔疾病

3、影响消化功能,危害全身健康

4、发音和进食有障碍

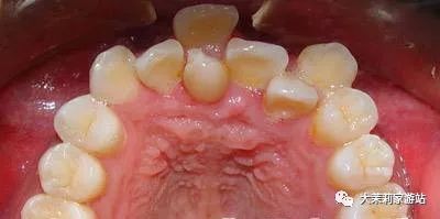
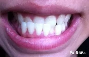
1、牙列不齐

2、间隙过大

3、牙齿拥挤

4、龅牙

5、地包天

6、虎牙

声明:本网站引用、摘录或转载内容仅供网站访问者交流或参考,不代表本站立场,如存在版权或非法内容,请联系站长删除,联系邮箱:site.kefu@qq.com。
                                阅读量:195
阅读量:92
阅读量:55
阅读量:81
阅读量:136