胆道系统几种常见疾病的影像图片。
1、一:先天性胆总管囊肿。

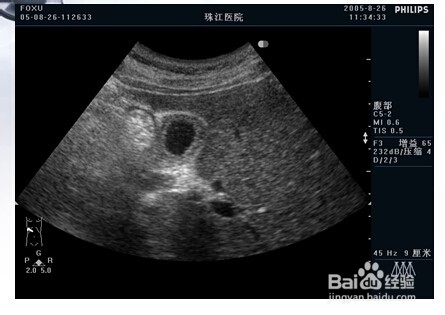
2、二:急性胆囊炎。

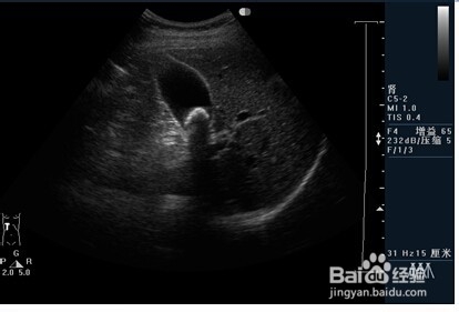
3、三:胆囊颈部结石。

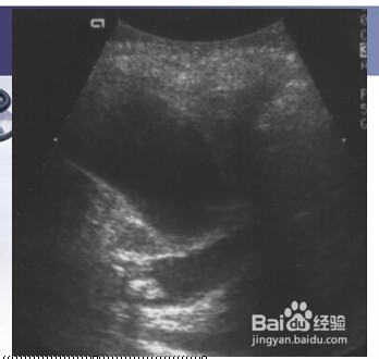
4、四:胆囊壁增厚及沉积物。

5、五:慢性胆囊炎。

6、六: 胆囊结石 。

7、七:胆囊扩张。

声明:本网站引用、摘录或转载内容仅供网站访问者交流或参考,不代表本站立场,如存在版权或非法内容,请联系站长删除,联系邮箱:site.kefu@qq.com。
1、一:先天性胆总管囊肿。

2、二:急性胆囊炎。

3、三:胆囊颈部结石。

4、四:胆囊壁增厚及沉积物。

5、五:慢性胆囊炎。

6、六: 胆囊结石 。

7、七:胆囊扩张。
