怎样科学的美白牙齿
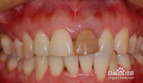
1、牙齿变色可以是牙齿本身的原因,我们都知道牙齿里面有牙神经,有血管,当我们的牙齿受到外伤或者做过根管治疗(钻牙)以后,牙齿失去了营养来源,就会慢慢变得发黄发脆,变得很不美观。

2、在我们牙齿发育的时候,某些药物或者微量元素超标,也会引起牙体的变色。比如妈妈怀孕的时候服用过四环素或者幼儿时期服用过四环素,都可以引起四环素牙(现在比较少见);幼儿时期生活的地方氟含量超标,可以引起氟斑牙(多有特殊地区分布)

3、还有一种就是牙齿本事发育就有问题,比如牙釉质牙本质的发育不足,这就会使牙齿看起来像石灰一样,颜色不明亮。

4、最后一种就是那些喜欢喝茶喜欢抽烟的朋友们,长期下来就会导致牙体有很多的色素沉着,各种发黑发黄,而且会有很多牙结石。

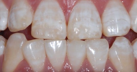
1、其实要美白牙齿,只有两种方法。第一种就是物理的方法。首先这对于各种茶斑烟斑,可以通过洁牙慢慢刮除,使牙齿尽可能恢复原本的颜色。而针对其他的牙齿本身原因引起的变色就只有通过一些材料来把原本牙齿的颜色遮盖住,比如牙贴面(在牙齿表面贴上一片材料,恢复牙齿的美白),这种方法效果显著,对很多严重的牙齿变色非常有帮助,但是这个方法要求比较高,也不是每个人都适合的。

2、第二种方法应用比较广,多数是通过一些化学药物来美白牙齿。现在市面上常见的有冷光美白,激光美白,皓齿美白等。这些美白牙齿的方法主要原理是通过一些技术使某些药物进入牙齿里面,消除色素,到达美白效果。这种方法一般只是针对比较轻的变色效果较好,而且一段时间后也会复发。

3、其他的什么美白粉,漂白剂多半是对人体有影响的化学物质,长期效果不明确,也有可能有毒副作用,所以不建议大家去尝试。当然一些养生食物也有一定美白作用,但是效果微乎其微,可以看作日常的一种保健措施。

4、不管什么方法美白牙齿,都比不上自己天然的大白牙,所以大家要爱护牙齿,认真刷牙,这样才能“笑口常开”
